Bruxismo
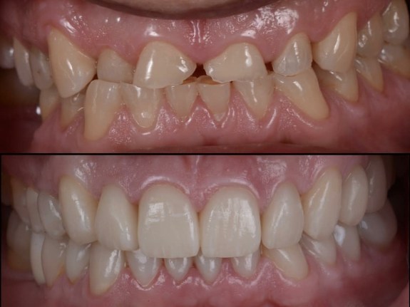
Con il termine bruxismo si va a indicare una condizione di digrignamento dei denti con sfregamento delle due arcate, quella superiore e quella inferiore. Una problematica abbastanza frequente cui si assiste soprattutto nelle ore notturne, durante il sonno, a causa della contrazione involontaria dei muscoli della masticazione. Il tutto può presentarsi anche con una certa forza da parte delle mascelle.
In termini tecnici si parla di una parafunzione per la quale non esistono cause specifiche ma che può determinare problematiche anche piuttosto gravi dei denti. Si fa riferimento soprattutto ad usura dei denti, lesioni, perdita dello strato di smalto, dolori a mascelle ed orecchie, mal di testa.
Non essendoci, come detto, cause specifiche, è difficile anche andare a trattare il bruxismo: solitamente si pensa chestress e tensione possano essere cause scatenanti e di conseguenza si procede cercando di limitare questi fattori. La soluzione cui ci si rivolge con frequenza non potendo cancellare le cause è quella limitarne gli effetti, in questo caso i potenziali danni ai denti. Si utilizza a questo scopo un bite, una sorta di paradenti da indossare nelle ore notturne per evitare che lo sfregamento possa avere effetti deleteri sui denti generando problematiche complesse quali quelle sopra descritte.

